Enlarged vestibular aqueduct is also known as large vestibular aqueduct syndrome.
Etiology
It is an autosomal recessive genetic disorder, often occurring as a single case in families. It has been linked to the PDS gene and SLC26A4 gene.
Clinical Manifestations
Symptoms usually begin around the age of 2. The main feature is fluctuating hearing loss. Some patients may experience sudden hearing loss, while others have episodic vertigo with fluctuating hearing loss, similar to Meniere's disease. Progressive hearing loss often leads to complete hearing loss.

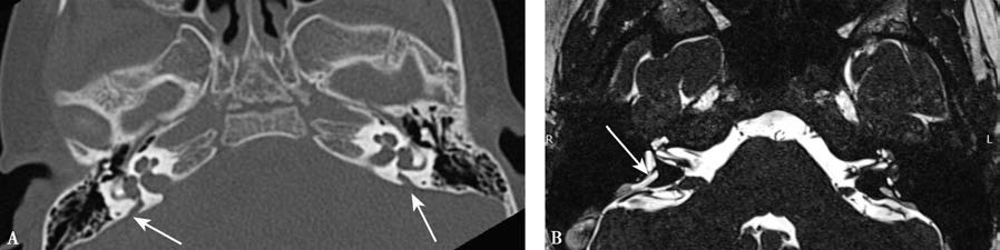
Figure 1 CT and MRI of enlarged vestibular aqueduct
A. Axial CT of the temporal bone, with white arrows indicating bilateral enlargement of the vestibular aqueducts; B. Axial MRI of the temporal bone, with a white arrow indicating enlargement of the right vestibular aqueduct.
Diagnosis
Diagnosis is primarily based on high-resolution CT scans. On axial CT of the temporal bone, a midsection diameter of the vestibular aqueduct greater than 1.5 mm and an external aperture width greater than 2.5 mm suggest this condition. On the basis of CT findings in combination with clinical symptoms, a diagnosis can be established. After the third month of pregnancy, amniotic fluid can be used for chorionic cell chromosomal analysis, and PDS gene mutation detection can predict this disease.
Treatment
Early hearing loss may be treated with a rapid intravenous infusion of 20% mannitol.
Patients with residual hearing can use hearing aids.
Individuals with severe bilateral hearing loss should undergo cochlear implantation.