Vasculitis refers to a group of diseases characterized by inflammation and fibrinoid necrosis of the vascular walls. The kidney is one of the major target organs affected by vasculitis, which is referred to as renal involvement in vasculitis. This section primarily focuses on antineutrophil cytoplasmic antibody (ANCA)-positive systemic small-vessel vasculitis, including granulomatosis with polyangiitis (GPA), microscopic polyangiitis (MPA), and eosinophilic granulomatosis with polyangiitis (EGPA).
The primary target antigens of ANCA are proteinase 3 (PR3) and myeloperoxidase (MPO).
Pathogenesis
The pathogenesis of this group of diseases is multifactorial, involving ANCA, neutrophils, and the complement system.
ANCA and Neutrophils
Animal models have demonstrated that MPO-ANCA can induce crescentic glomerulonephritis and alveolar small-vessel vasculitis. In vitro studies have shown that ANCA mediates the adhesion of neutrophils to endothelial cells. ANCA-activated neutrophils undergo respiratory bursts and degranulation, releasing reactive oxygen species and various proteases, which contribute to vascular inflammation.
Complement System
Both animal models and patient-based studies have confirmed that activation of the alternative complement pathway is involved in the pathogenesis of this disease. The complement activation product C5a exerts pro-inflammatory effects through its receptor, C5aR, and contributes to the development of vasculitis.
Pathology
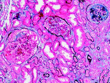
Immunofluorescence and electron microscopy typically reveal no immune complexes or electron-dense deposits, or only minimal deposition. Light microscopy often shows focal segmental necrosis of glomerular capillary loops and crescent formation, with lesions of varying stages.

Figure 1 Renal involvement in ANCA-associated small-vessel vasculitis, showing crescents of varying stages (PASM ×100)
Clinical Manifestations
This disease can occur across all age groups, but it is more commonly observed in elderly individuals. Patients often present with nonspecific systemic symptoms, such as fever, fatigue, joint and muscle pain, and weight loss. Laboratory findings include positive ANCA, elevated C-reactive protein (CRP), and an increased erythrocyte sedimentation rate (ESR).
Renal involvement during the active phase is characterized by hematuria, most commonly microscopic hematuria, with red blood cell casts often observed, and proteinuria is frequently present. Renal dysfunction is common, with approximately half of the patients presenting with rapidly progressive glomerulonephritis (RPGN).
This disease often involves multiple systems. Common extrarenal manifestations include damage to the lungs, head and neck, and internal organs. Pulmonary involvement is characterized by cough, blood-streaked sputum, or even hemoptysis. In severe cases, diffuse alveolar hemorrhage can lead to respiratory failure and life-threatening conditions. Chest X-rays may reveal shadows, cavitations, and pulmonary interstitial fibrosis.
Diagnosis and Differential Diagnosis
There is currently no unified or universally recognized clinical diagnostic criterion for this disease. The most widely used classification criteria are those established by the 2012 revised Chapel Hill Consensus Conference on the nomenclature of systemic vasculitis.
In middle-aged or elderly patients presenting with fever, fatigue, and nephritis, along with positive serum ANCA, a diagnosis of this disease may be considered. Differential diagnoses include Henoch-Schönlein purpura nephritis and lupus nephritis. Renal biopsy can aid in confirming the diagnosis and determining the subtype.
Treatment
The treatment of ANCA-associated small-vessel vasculitis is divided into induction therapy, maintenance therapy, and relapse therapy.
Induction Therapy
The combination of glucocorticoids and cyclophosphamide is the most commonly used treatment regimen. Prednisone is administered at a dose of 1 mg/(kg·d) and tapered gradually over 4–6 weeks. Cyclophosphamide is given either orally at 2 mg/(kg·d) for 3–6 months or intravenously at a dose of 0.75 g/m2 once a month for 6 consecutive months. Dosages should be adjusted for elderly patients and those with renal insufficiency. The combination of glucocorticoids and rituximab can be used for non-severe cases (serum creatinine < 354 μmol/L) or in patients with contraindications to cyclophosphamide.
For severe cases, such as those with fibrinoid necrosis of small arteries, extensive cellular crescents, or pulmonary hemorrhage, high-dose methylprednisolone (MP) pulse therapy may be administered. Plasma exchange is primarily indicated for patients with concurrent anti-GBM antibodies, severe pulmonary hemorrhage, or serum creatinine > 500 μmol/L at disease onset.
Maintenance Therapy
Maintenance therapy typically involves low-dose glucocorticoids combined with immunosuppressive agents such as azathioprine at 2 mg/(kg·d) or mycophenolate mofetil (1.0–1.5 g/d in two divided doses). The duration of maintenance therapy should be at least 18–24 months. Rituximab is also used during the maintenance phase.
Relapse Therapy
For relapsing disease (cases involving life-threatening or organ-threatening conditions), induction therapy should be reinitiated. Patients who did not receive rituximab during the initial induction therapy may be treated with a combination of glucocorticoids and rituximab.
Prognosis
With appropriate treatment, the 5-year survival rate reaches 80%. Independent risk factors affecting prognosis include advanced age, severe pulmonary involvement, secondary infections, and severe renal failure. The presence of underlying pulmonary disease is an independent risk factor for secondary pulmonary infections.