Diabetic kidney disease (DKD) is one of the most significant complications of diabetes mellitus (DM). It is clinically characterized by persistent increases in urinary albumin excretion and/or a progressive decline in estimated glomerular filtration rate (eGFR), eventually leading to end-stage renal disease (ESRD).
Pathogenesis
Abnormal Glucose Metabolism
In the diabetic state, renal glucose metabolism is markedly enhanced, with approximately 50% of glucose being metabolized in the kidneys, which increases the renal glucose burden. Hyperglycemic products, such as advanced glycation end-products (AGEs), contribute to thickening of the glomerular basement membrane and increased permeability of the filtration barrier. Additionally, AGEs bind to specific receptors, activating cells to secrete large amounts of inflammatory mediators, causing tissue damage. Persistent hyperglycemia activates the polyol pathway, converting glucose into sorbitol and fructose. Excessive accumulation of sorbitol and fructose in cells leads to intracellular hyperosmolarity, cellular swelling, and damage. Activation of the polyol pathway also promotes the secretion of transforming growth factor-beta (TGF-β) and vascular endothelial growth factor (VEGF) via the diacylglycerol-protein kinase C pathway, while inhibiting nitric oxide (NO) synthase activity. This results in increased extracellular matrix synthesis, renal interstitial fibrosis, and vascular dysfunction.
Renal Hemodynamic Changes
Recent studies suggest that excessive sodium-glucose cotransport in the proximal tubules leads to excessive sodium reabsorption, which is a key factor in renal hemodynamic changes. This excessive reabsorption reduces pressure in Bowman’s capsule, forcing an increase in glomerular filtration. Hyperfiltration subsequently results in glomerular hyperperfusion, elevated transmembrane pressure, and the generation of proteinuria.
Roles of Hormones and Cytokines
In the diabetic state, the local renin-angiotensin system (RAS) in the kidneys is abnormally activated. Angiotensin II (ATII) selectively constricts efferent arterioles, increasing intraglomerular transmembrane pressure. ATII disrupts the integrity of the glomerular basement membrane’s anionic barrier by reducing the synthesis of sulfated heparan proteoglycans in podocytes. Additionally, ATII synergizes with hyperglycemia to stimulate TGF-β production, which promotes DKD-associated kidney damage by increasing extracellular matrix accumulation. Other factors involved in DKD progression include endothelin, connective tissue growth factor, VEGF, insulin-like growth factor, prostaglandins, reactive oxygen species, and NO.
Genetic Factors
DKD is considered a polygenic disease, and genetic factors play a significant role in determining susceptibility to DKD.
Pathology
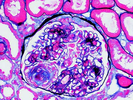
In light microscopy, glomerular hypertrophy and increased mesangial matrix expansion are observed. As the disease progresses, diffuse thickening of the glomerular basement membrane and mesangial proliferation occur, leading to the formation of characteristic Kimmelstiel-Wilson (K-W) nodules. These nodules are focal, lobulated, and peripheral mesangial lesions with a round to oval shape, consisting of acellular hyaline-like matrix, which is a relatively specific pathological feature of DKD and is referred to as nodular glomerulosclerosis. Tubular pathological changes include vacuolar degeneration of tubular epithelial cells, thickening of the tubular basement membrane, reduction of brush borders, and tubular atrophy. Interstitial and vascular changes include renal interstitial fibrosis, inflammatory cell infiltration, and arteriolar hyalinosis. Immunofluorescence reveals linear deposits of IgG and albumin along the glomerular and tubular basement membranes. Electron microscopy shows increased mesangial matrix, homogeneous thickening of the basement membrane, and early segmental podocyte foot process fusion, which becomes diffuse as the disease progresses.

Figure 1 Diabetic kidney disease with Kimmelstiel-Wilson nodules (PASM ×200)
Clinical Manifestations and Staging
Once DKD is diagnosed, further staging of chronic kidney disease (CKD) should be determined based on eGFR and urinary albumin levels. Risk assessment for DKD progression and determination of follow-up frequency are also necessary. The diagnosis of DKD is recommended to include the underlying cause, eGFR classification, and urinary albumin-to-creatinine ratio (UACR) classification.

Table 1 CKD progression risk and recommended follow-up frequency based on eGFR and UACR categories
Notes: The numbers in the table represent the suggested frequency of follow-up visits per year.
Diagnosis and Differential Diagnosis
DKD is typically diagnosed clinically based on the presence of persistent albuminuria and/or a decline in eGFR, while excluding other causes of chronic kidney disease (CKD). When diabetes mellitus (DM) is identified as the cause of kidney damage and other causes of CKD are excluded, DKD can be diagnosed if at least one of the following criteria is met:
- At least two out of three measurements of UACR ≥ 30 mg/g or a 24-hour urinary albumin excretion rate (UAER) ≥ 30 mg/24h within a 3–6 month period.
- eGFR < 60 ml/(min·1.73 m2) persisting for more than 3 months.
- Renal biopsy findings consistent with DKD-related pathological changes.
If kidney damage occurs in a diabetic patient with any of the following conditions, the possibility of a non-diabetic kidney disease (NDKD) should be considered. Further investigation should be conducted to identify the underlying cause, and renal biopsy may be necessary to confirm the diagnosis:
- Rapid decline in eGFR over a short period.
- Absence of significant microalbuminuria, sudden and marked increases in proteinuria, or the rapid onset of nephrotic syndrome.
- Active urinary sediment findings on urinalysis.
- Refractory hypertension.
- A confirmed diagnosis of primary or secondary glomerular disease or other systemic diseases.
- A reduction in eGFR exceeding 30% within 3 months of initiating treatment with angiotensin-converting enzyme inhibitors (ACEIs) or angiotensin receptor blockers (ARBs).
- Imaging findings suggesting structural abnormalities, such as kidney stones, cysts, horseshoe kidney, or a history of kidney transplantation.
- Renal biopsy findings indicating pathological changes associated with other kidney diseases.
Treatment
Treatment includes early intervention to address various risk factors and renal replacement therapy for ESRD.
Dietary Management
The total daily caloric intake for DKD patients should be 25–30 kcal/kg. For non-dialysis DKD patients, protein intake should be limited to 0.8 g/(kg·d), while dialysis patients should consume 1.0–1.2 g/(kg·d). Sodium intake should be restricted to less than 2.3 g per day.
Glycemic Control
Glycated hemoglobin (HbA1c) should be maintained at ≤7% in DKD patients. Common oral hypoglycemic agents include eight main classes:
- Biguanides,
- α-glucosidase inhibitors,
- Sulfonylureas,
- Glinides,
- Thiazolidinediones,
- Dipeptidyl peptidase-4 (DPP-4) inhibitors,
- Sodium-glucose co-transporter 2 inhibitors (SGLT2i),
- Glucagon-like peptide-1 receptor agonists (GLP-1RA).
When selecting hypoglycemic agents for DKD patients, priority should be given to drugs with renal benefits, while taking into account the patient's cardiac and renal function. Dosages should be adjusted based on eGFR. Metformin is recommended as the first-line hypoglycemic agent for patients with type 2 diabetes mellitus (T2DM) and DKD [eGFR ≥ 45 ml/(min·1.73 m2)]. SGLT2i and GLP-1RA have renal protective effects independent of their glucose-lowering actions. It is recommended that T2DM patients with DKD should receive SGLT2i unless contraindicated; if contraindicated, GLP-1RA with renal benefits should be used.
Blood Pressure Control
The target blood pressure for DKD patients is <130/80 mmHg, with ACEIs or ARBs as the first-line medications. ACEIs and ARBs not only lower blood pressure but also reduce proteinuria, slow renal function decline, and decrease cardiovascular complications. These drugs have become the standard strategy for managing blood pressure, reducing proteinuria, and delaying disease progression in DKD patients. For patients with poorly controlled blood pressure, calcium channel blockers, diuretics, or α-receptor antagonists may be added. Regular monitoring of UACR, serum creatinine, and potassium levels is necessary during ACEI/ARB therapy. Caution is advised in patients with renal artery stenosis.
Lipid Management
The target low-density lipoprotein cholesterol (LDL-C) level for DKD patients is <2.6 mmol/L. For patients with atherosclerotic cardiovascular disease, the target LDL-C level is <1.8 mmol/L. Statins are the first choice for patients with elevated total cholesterol, while fibrates are preferred for those with elevated triglycerides.
Management of Complications
Complications such as refractory edema, anemia, malnutrition, cardiovascular complications, peripheral vascular disease, and peripheral and autonomic neuropathy should be addressed promptly. Renal function should be protected, and nephrotoxic drugs should be avoided whenever possible.
Dialysis and Transplantation
When eGFR falls below 15 ml/min or when conditions such as uncontrollable heart failure, severe gastrointestinal symptoms, or hypertension occur, dialysis, kidney transplantation, or combined pancreas-kidney transplantation should be considered based on the patient’s condition.
Prognosis
The prognosis of DKD is poor. Prognostic factors primarily include the type of DM, the severity of proteinuria, renal function, and the extent of extrarenal complications such as cardiovascular and cerebrovascular diseases.