Nephrotic syndrome (NS) is a clinical syndrome characterized by massive proteinuria (>3.5 g/day), hypoalbuminemia (serum albumin <30 g/L), edema, and hyperlipidemia. Among these, the first two are essential for diagnosis.
Etiology
NS can be categorized into primary and secondary forms based on its etiology. Primary NS is associated with various types of pathological changes, commonly including:
- Minimal change disease (MCD);
- Mesangial proliferative glomerulonephritis;
- Focal segmental glomerulosclerosis (FSGS);
- Membranous nephropathy;
- Mesangiocapillary glomerulonephritis.

Table 1 Classification and common causes of nephrotic syndrome
Pathophysiology
Massive Proteinuria
Under normal physiological conditions, the glomerular filtration barrier functions as both a molecular and charge barrier. Damage to these barriers results in the persistent leakage of large amounts of plasma proteins through the glomerular filtration membrane, forming the pathological basis of proteinuria. Factors that increase intraglomerular pressure and lead to hyperperfusion and hyperfiltration (e.g., hypertension, high-protein diets, or excessive plasma protein infusion) can further exacerbate protein excretion. The urine primarily contains albumin and proteins of similar molecular size. Larger proteins, such as fibrinogen, α1-macroglobulin, and α2-macroglobulin, cannot pass through the glomerular filtration membrane, and their plasma concentrations remain unchanged.
Hypoalbuminemia
In NS, the loss of large amounts of albumin in the urine stimulates compensatory albumin synthesis by the liver. However, the increased reabsorption of filtered proteins by the proximal tubules also leads to enhanced protein catabolism in the renal tubules. Hypoalbuminemia occurs when hepatic albumin synthesis cannot compensate for the losses and catabolism. Additionally, factors such as reduced appetite, inadequate protein intake, malabsorption, or protein loss due to gastrointestinal mucosal edema further exacerbate hypoalbuminemia. Prolonged, excessive protein loss can result in malnutrition and growth retardation in patients.
Along with decreased plasma albumin, reductions in other plasma proteins, such as immunoglobulins (e.g., IgG), complement components, anticoagulant and fibrinolytic factors, metal-binding proteins, and hormone-binding proteins, may also occur. These reductions are more pronounced in cases of severe glomerular pathology, massive proteinuria, and non-selective proteinuria. A small subset of patients may present with hypothyroidism, which typically resolves as the nephrotic syndrome remits.
Edema
Hypoalbuminemia reduces plasma colloid osmotic pressure, leading to the movement of fluid from the intravascular space to the interstitial space, which is the primary cause of edema in NS. In some patients, a reduction in effective circulating blood volume activates the renin-angiotensin-aldosterone system, promoting sodium and water retention. In peripheral capillaries with normal hydrostatic pressure but reduced osmotic pressure, transcapillary fluid leakage and edema occur. Studies have also shown that some NS patients do not exhibit reduced blood volume, and may even have increased blood volume with normal or decreased plasma renin levels. This suggests that sodium and water retention in NS may result from primary renal sodium retention rather than activation of the renin-angiotensin-aldosterone system.
Hyperlipidemia
Hyperlipidemia in NS is characterized by hypercholesterolemia and/or hypertriglyceridemia, often accompanied by elevated low-density lipoprotein (LDL), very-low-density lipoprotein (VLDL), and lipoprotein(a) [Lp(a)] levels, with normal or decreased high-density lipoprotein (HDL) levels. The primary causes of hyperlipidemia include increased hepatic synthesis of lipoproteins and decreased utilization and catabolism by peripheral tissues. Hypercholesterolemia is associated with excessive hepatic production of cholesterol-rich LDL and apolipoprotein B, as well as impaired LDL receptor function, which reduces LDL clearance. Hypertriglyceridemia is also common in NS and is primarily due to reduced catabolism rather than increased synthesis.
Pathological Types and Clinical Features
Minimal Change Disease (MCD)
In light microscopy, glomeruli show no significant abnormalities, though lipid degeneration may be observed in the proximal tubular epithelial cells. Immunopathological examination is negative. The characteristic finding in electron microscopy is widespread podocyte foot process effacement.

Figure 1 Schematic diagram of minimal change disease
Left: normal glomerulus; Right: diseased glomerulus.
1, Disappearance of epithelial cell foot processes;
2, Basement membrane;
3, Endothelial cells;
4, Mesangial cells.

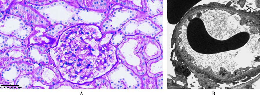
Figure 2 Pathological images of minimal change disease
A. Normal glomerulus in light microscopy (PAS staining);
B. Glomerulus in electron microscopy (extensive fusion of visceral epithelial cell foot processes).
MCD accounts for 80–90% of primary nephrotic syndrome (NS) cases in children and 5–10% in adults. Certain drug-induced kidney injuries (e.g., caused by nonsteroidal anti-inflammatory drugs, lithium) and tumors (e.g., Hodgkin's lymphoma) may present with similar changes. The disease is more common in males than females, with a higher incidence in children. The incidence decreases in adults but shows a small peak after the age of 60. In patients over 60, hypertension and renal dysfunction are more frequently observed. The typical clinical presentation is nephrotic syndrome, with approximately 15% of patients exhibiting microscopic hematuria.
Spontaneous remission occurs in 30–40% of patients within a few months after onset. About 90% of cases respond to glucocorticoid therapy, with proteinuria rapidly decreasing to undetectable levels within weeks and serum albumin levels gradually normalizing, resulting in complete clinical remission. However, the relapse rate is as high as 60%. Repeated relapses or prolonged uncontrolled massive proteinuria may lead to a pathological transition, resulting in a poorer prognosis. In general, adults have lower remission rates and higher relapse rates compared to children.
Mesangial Proliferative Glomerulonephritis (MPG)
In light microscopy, diffuse proliferation of mesangial cells and mesangial matrix is observed, which can be classified as mild, moderate, or severe based on the degree of proliferation. Immunopathological examination divides this group into IgA nephropathy and non-IgA mesangial proliferative glomerulonephritis. The former is characterized by predominant IgA deposition, while the latter shows IgG or IgM deposition, often accompanied by granular C3 deposits in the mesangial region or along the capillary walls. Electron microscopy reveals mesangial proliferation with electron-dense deposits in the mesangial area.

Figure 3 Schematic diagram of mesangial proliferative glomerulonephritis
Left: normal glomerulus; Right: diseased glomerulus.
1, Epithelial cells;
2, Basement membrane;
3, Endothelial cells;
4, Mesangial cells;
5, Immune complexes.
This condition is more common in males and typically affects adolescents. About 50% of patients have a preceding upper respiratory tract infection or other infections, and some may present with acute nephritic syndrome. Others may have an insidious onset. Among these conditions, approximately 50% of non-IgA mesangial proliferative glomerulonephritis cases present with NS, and 70% have hematuria. Nearly all patients with IgA nephropathy exhibit hematuria, and about 15% present with NS.
Most patients respond well to glucocorticoids and cytotoxic drugs, with over 50% achieving complete remission after steroid therapy. Treatment efficacy correlates with the severity of pathological changes, with mild changes responding better to treatment than severe ones.
Focal Segmental Glomerulosclerosis (FSGS)
In light microscopy, lesions are focal and segmental, characterized by sclerosis in affected segments (e.g., increased mesangial matrix, capillary occlusion, Bowman’s capsule adhesions), along with tubular atrophy and interstitial fibrosis. Immunofluorescence shows clumped IgM and C3 deposits in the affected glomerular segments. Electron microscopy reveals extensive podocyte foot process effacement, basement membrane collapse, increased mesangial matrix, and electron-dense deposits.
Based on the location of sclerosis and cellular proliferation, FSGS can be classified into five subtypes:
- Classic type: Sclerosis primarily occurs in the capillary loops around the vascular pole.
- Collapsing type: Peripheral capillary loops show collapse and shrinkage, either segmentally or globally, with significant podocyte hypertrophy, hyperplasia, and vacuolar degeneration.
- Tip lesion type: Sclerosis is predominantly located near the urinary pole.
- Cellular type: Focal mesangial and endothelial cell proliferation, often accompanied by podocyte hypertrophy, hyperplasia, and vacuolar degeneration.
- Not otherwise specified (NOS): Lesions do not fit into the above categories, with sclerosis occurring in any location, often accompanied by mesangial cell and matrix proliferation.
Among these, the NOS subtype is the most common, accounting for over half of cases.
FSGS accounts for 20–25% of NS cases. It is more common in adolescents and males, often presenting with an insidious onset. Some cases may evolve from minimal change disease. The clinical presentation is dominated by massive proteinuria, with most patients also exhibiting hematuria or even gross hematuria. Milder cases may present with asymptomatic hematuria and/or proteinuria. At diagnosis, approximately half of patients have hypertension, and about 30% have impaired renal function.
The tip lesion subtype generally responds well to glucocorticoid therapy and has a favorable prognosis, while the collapsing subtype shows poor treatment response, progresses rapidly, and often leads to end-stage renal disease (ESRD) within two years. The prognosis of other subtypes falls between these two extremes. Historically, FSGS was considered poorly responsive to glucocorticoid therapy, but recent studies suggest that nearly half of patients respond to treatment, though the response may be slow, with an average remission period of four months. Remission of NS is closely associated with prognosis, with better outcomes in those achieving remission. In contrast, over half of non-remitters progress to ESRD within 6–10 years.
Membranous Nephropathy
In light microscopy, glomeruli exhibit diffuse lesions with generalized thickening of the capillary basement membrane. In the early stages, small scattered eosinophilic granules can be observed on the epithelial side of the glomerular basement membrane (GBM) using Masson staining. As the disease progresses, spike formations (visible with silver staining) appear, and the basement membrane thickens gradually. Immunofluorescence shows fine granular deposits of IgG and C3 along the glomerular capillary walls, sometimes accompanied by IgA and IgM deposits. Electron microscopy in the early stages reveals well-organized electron-dense deposits on the epithelial side of the GBM, often accompanied by widespread podocyte foot process effacement.

Figure 4 Schematic diagram of membranous nephropathy
Left: normal glomerulus; Right: diseased glomerulus.
1, Epithelial cells;
2, Basement membrane;
3, Endothelial cells;
4, Mesangial cells;
5, Immune complexes.

Figure 5 Pathological images of membranous nephropathy
A. Thickened and rigid glomerular basement membrane in light microscopy (PAS staining);
B. Thickened basement membrane with spike formation visible (silver staining).
This condition predominantly affects middle-aged and elderly individuals, with a higher prevalence in males. The peak incidence occurs between the ages of 50 and 60. The onset is usually insidious, with 70–80% of patients presenting with nephrotic syndrome. Approximately 30% of patients have microscopic hematuria, but gross hematuria is rare. Renal dysfunction typically develops gradually 5–10 years after disease onset. Circulating anti-phospholipase A2 receptor (PLA2R) antibodies are useful for the diagnosis, monitoring of treatment response, and recurrence surveillance in membranous nephropathy. Thromboembolic complications are common in this disease, with renal vein thrombosis occurring in 40–50% of cases. Sudden onset of lumbar or flank pain, accompanied by worsening hematuria, proteinuria, and renal dysfunction, may indicate renal vein thrombosis. Sudden chest pain and dyspnea may suggest pulmonary embolism.
Membranous nephropathy accounts for approximately 20% of primary nephrotic syndrome cases. About 20–35% of patients experience spontaneous clinical remission. Among early-stage membranous nephropathy cases (prior to the appearance of spikes), 60–70% achieve clinical remission with glucocorticoid and cytotoxic therapy. However, as the disease progresses and pathological changes worsen, treatment efficacy declines.
Mesangial Capillary Glomerulonephritis
The pathological changes observed in light microscopy frequently include diffuse and severe proliferation of mesangial cells and mesangial matrix, which may extend between the glomerular basement membrane and endothelial cells. The GBM shows layered thickening, resulting in a "double-contour" appearance of the capillary loops. Immunopathological examination typically reveals granular deposits of IgG and C3 along the mesangial regions and capillary walls. Electron microscopy shows electron-dense deposits in the mesangial regions and beneath the endothelium.

Figure 6 Schematic diagram of mesangiocapillary glomerulonephritis
Left: normal glomerulus; Right: diseased glomerulus.
1, Epithelial cells;
2, Basement membrane;
3, Endothelial cells;
4, Mesangial cells;
5, Immune complexes;
6, Basement membrane-like material.

Figure 7 Pathological images of mesangiocapillary glomerulonephritis
A. "Double contour" appearance of glomerular capillary loops in light microscopy (silver staining);
B. Electron-dense deposits visible in the mesangial area and subendothelial region in electron microscopy.
This pathological type accounts for approximately 10–20% of primary nephrotic syndrome cases. It is more common in adolescents, with a roughly equal male-to-female ratio. About 1/4 to 1/3 of patients present with acute nephritic syndrome, often following an upper respiratory tract infection. Approximately 50–60% of patients present with nephrotic syndrome, and nearly all patients have hematuria, with a minority experiencing episodic gross hematuria. A small proportion of patients exhibit asymptomatic hematuria and proteinuria. Renal dysfunction, hypertension, and anemia tend to appear early, and the disease often progresses steadily. Persistent hypocomplementemia (low serum C3 levels) is observed in 50–70% of cases and is an important diagnostic clue.
Currently, there is no effective treatment for this disease. Glucocorticoids and cytotoxic drugs are effective in some pediatric cases but generally have poor efficacy in adults. Some studies suggest that anticoagulants, such as dipyridamole, aspirin, or indobufen, may provide some degree of renal protection. The prognosis for this disease is poor, with progressive disease leading to end-stage renal failure in approximately 50% of patients within 10 years. Recurrence after kidney transplantation is common.
Complications
Infections
Infections are common complications of nephrotic syndrome (NS) and are associated with malnutrition due to protein loss, immune dysfunction, and the use of glucocorticoid therapy. The most frequently affected sites include the respiratory tract, urinary tract, skin, and peritoneum. Common pathogens include Streptococcus pneumoniae and Streptococcus hemolyticus. Due to the use of glucocorticoids, the clinical symptoms of infections in nephrotic syndrome patients are often not pronounced. Infections are a major cause of nephrotic syndrome relapse and poor treatment outcomes.
Thrombosis and Embolism
Thrombosis and embolism are complications resulting from hemoconcentration (reduced effective blood volume) and hyperlipidemia, which increase blood viscosity. Additionally, the loss of certain proteins in the urine leads to compensatory protein synthesis by the liver, causing an imbalance in the coagulation, anticoagulation, and fibrinolytic systems. Overactivation of platelets, as well as the use of diuretics and glucocorticoids, further exacerbates the hypercoagulable state. Consequently, nephrotic syndrome patients are prone to thrombotic and embolic complications, with renal vein thrombosis being the most common, occurring in approximately 10–50% of cases. Among these, about 3/4 of cases are chronic and asymptomatic. Thrombosis or embolism in the pulmonary vasculature, lower limb veins, inferior vena cava, coronary arteries, and cerebral vessels is also relatively common and significantly impacts treatment outcomes and prognosis in nephrotic syndrome.
Acute Kidney Injury (AKI)
Acute kidney injury may occur due to reduced renal blood flow caused by insufficient effective blood volume, leading to prerenal azotemia. This condition can resolve following volume expansion and diuretic therapy. In rare cases, acute kidney injury develops, particularly in patients with minimal change disease, often without obvious precipitating factors. Symptoms include oliguria or even anuria, which do not respond to volume expansion or diuretic therapy. Although the exact mechanism is unclear, it is hypothesized to involve severe interstitial edema compressing the renal tubules and extensive tubular obstruction by casts. These changes increase intratubular pressure, resulting in a sudden decrease in glomerular filtration rate. This process may also induce tubular epithelial cell injury and necrosis, ultimately leading to acute kidney injury.
Disorders of Protein and Lipid Metabolism
Prolonged hypoalbuminemia can result in malnutrition and growth retardation in children. Reduced immunoglobulin levels weaken the immune system, increasing susceptibility to infections. The loss of metal-binding proteins can lead to deficiencies in trace elements such as iron, copper, and zinc. Insufficient binding proteins for endocrine hormones may cause endocrine disorders, such as low T3 syndrome. Decreased drug-binding proteins may alter the pharmacokinetics of certain medications, leading to increased free drug concentrations in plasma, accelerated drug elimination, and reduced drug efficacy. Hyperlipidemia increases blood viscosity, promoting the occurrence of thrombotic and embolic complications. It also raises the risk of cardiovascular complications and contributes to glomerulosclerosis and tubulointerstitial lesions, accelerating the chronic progression of kidney disease.
Diagnosis and Differential Diagnosis
The diagnostic process involves three main aspects:
- Determining whether the condition is nephrotic syndrome (NS).
- Identifying the underlying cause, which requires excluding secondary causes and hereditary diseases before diagnosing primary nephrotic syndrome. A kidney biopsy is preferred to establish a pathological diagnosis.
- Assessing for the presence of complications.
The primary conditions requiring differential diagnosis include the following:
Hepatitis B Virus-Associated Nephritis
This condition is more common in children and adolescents and primarily presents as proteinuria or nephrotic syndrome. The most common pathological type is membranous nephropathy, followed by mesangial capillary glomerulonephritis. Key diagnostic criteria include:
- Positive serum hepatitis B virus antigens.
- Clinical manifestations of glomerulonephritis with exclusion of other secondary glomerulonephritis causes.
- Detection of hepatitis B virus antigens in kidney biopsy tissue.
Lupus Nephritis
This condition predominantly affects women of childbearing age and is often accompanied by systemic symptoms such as fever, rash, and joint pain. Laboratory findings include positive serum antinuclear antibodies, anti-dsDNA antibodies, and anti-Sm antibodies, along with decreased complement C3 levels. Immunopathology from kidney biopsy typically shows a "full-house" staining pattern.
Henoch-Schönlein Purpura Nephritis
This condition commonly occurs in adolescents and is characterized by typical skin purpura, often accompanied by joint pain, abdominal pain, and melena. Hematuria and/or proteinuria usually appear 1–4 weeks after the onset of purpura. The presence of typical purpura aids in differential diagnosis.
Diabetic Kidney Disease
This condition is more common in middle-aged and elderly individuals, with nephrotic syndrome typically developing in diabetic patients with a disease duration of over 10 years. Early signs include increased urinary microalbumin excretion, which gradually progresses to significant proteinuria and eventually nephrotic syndrome. A history of diabetes and characteristic fundus changes help in differential diagnosis. Kidney biopsy findings include thickening of the glomerular basement membrane and mesangial matrix expansion, with advanced stages showing the formation of Kimmelstiel-Wilson nodules (K-W nodules).
Renal Amyloidosis
This condition is more common in middle-aged and elderly individuals and is part of systemic amyloidosis involving multiple organs. Primary amyloidosis primarily affects the heart, kidneys, gastrointestinal tract (including the tongue), skin, and nerves. Secondary amyloidosis often occurs in association with chronic suppurative infections, tuberculosis, malignancies, and other diseases, primarily involving the kidneys, liver, and spleen. Renal involvement typically leads to kidney enlargement and nephrotic syndrome. Diagnosis usually requires kidney biopsy, with Congo red staining showing brick-red deposits that exhibit green birefringence under polarized light. Electron microscopy reveals characteristic fine fibrillar structures.
Myeloma Kidney Disease
This condition is more common in middle-aged and elderly individuals, with a higher prevalence in males. Patients may present with characteristic clinical features of multiple myeloma, such as bone pain, elevated serum monoclonal immunoglobulins, M bands on protein electrophoresis, and positive Bence-Jones proteins in the urine. Bone marrow examination reveals abnormal proliferation of plasma cells (accounting for more than 15% of nucleated cells) with qualitative abnormalities. When multiple myeloma involves the glomeruli, nephrotic syndrome may develop.
Treatment
General Treatment
Patients should maintain appropriate rest, avoid crowded public places, and take measures to prevent infections. Those with stable conditions may engage in moderate physical activity to prevent venous thrombosis.
A diet with normal amounts of high-quality protein (0.8–1.0 g/kg/day of animal protein rich in essential amino acids) is recommended. Adequate caloric intake should be ensured, with daily caloric consumption of no less than 30–35 kcal/kg. Although patients lose large amounts of protein in the urine, a high-protein diet is not recommended as it increases glomerular hyperfiltration, exacerbates proteinuria, and accelerates the progression of kidney disease.
Patients with significant edema should follow a low-sodium diet (less than 2 g/day). To alleviate hyperlipidemia, the intake of saturated fatty acids (such as animal fats) should be reduced, while foods rich in polyunsaturated fatty acids (such as vegetable oils and fish oils) and soluble fiber (such as oats, rice bran, and legumes) should be emphasized.
Symptomatic Treatment
Diuresis to Reduce Edema
The principle of diuretic therapy in nephrotic syndrome is to avoid rapid or excessive fluid removal, as this may lead to insufficient blood volume, exacerbate hyperviscosity, and increase the risk of thrombotic and embolic complications.
Thiazide Diuretics
These primarily act on the thick ascending limb of the loop of Henle and the early distal tubule, inhibiting sodium and chloride reabsorption while increasing potassium excretion to achieve diuresis. A commonly used drug is hydrochlorothiazide at a dose of 25 mg, taken orally three times daily. Long-term use requires monitoring for hypokalemia and hyponatremia.
Loop Diuretics
These act strongly on the ascending limb of the loop of Henle, inhibiting the reabsorption of sodium, chloride, and potassium. A commonly used drug is furosemide (Lasix) at a dose of 20–120 mg/day, administered orally or via intravenous injection in divided doses. Better results are achieved when administered immediately after osmotic diuretics. Caution is required to prevent hyponatremia and hypokalemic hypochloremic alkalosis when using loop diuretics.
Potassium-Sparing Diuretics
These primarily act on the late distal tubule, promoting sodium and chloride excretion while retaining potassium. They are suitable for patients with hypokalemia. When used alone, their diuretic effect is not significant, so they are often combined with thiazide diuretics. A commonly used drug is the aldosterone antagonist spironolactone at a dose of 20 mg, taken orally three times daily. Long-term use requires monitoring for hyperkalemia, and caution is advised in patients with renal insufficiency.
Osmotic Diuretics
These increase plasma colloid osmotic pressure, promoting the reabsorption of water from tissues into the bloodstream. They also create a hyperosmotic state in the renal tubules, reducing water and sodium reabsorption to achieve diuresis. Commonly used agents include low-molecular-weight dextran and hydroxyethyl starch. However, caution is required in patients with urine output less than 400 ml/day, as these drugs can combine with Tamm-Horsfall glycoprotein and urinary albumin in the renal tubules to form casts, leading to tubular obstruction. Their hyperosmotic effects may also cause tubular epithelial cell degeneration and necrosis, resulting in acute kidney injury.
Increasing Plasma Colloid Osmotic Pressure
Intravenous infusions of plasma or albumin can increase plasma colloid osmotic pressure, promoting the reabsorption of water from tissues and achieving diuresis. This approach, combined with the slow intravenous infusion of furosemide (60–120 mg) in glucose solution, often produces good diuretic effects. It is mainly used in patients with hypovolemia, diuretic resistance, or severe hypoalbuminemia.
Reducing Proteinuria
Persistent heavy proteinuria can lead to glomerular hyperfiltration, exacerbate tubulointerstitial damage, and promote glomerulosclerosis, significantly affecting the prognosis of glomerular diseases. It has been confirmed that reducing proteinuria can effectively delay the progression of renal function decline.
Angiotensin-Converting Enzyme Inhibitors (ACEIs) or Angiotensin II Receptor Blockers (ARBs)
These drugs not only effectively control hypertension but also reduce intraglomerular pressure and directly influence the permeability of the glomerular basement membrane to macromolecules, thereby reducing proteinuria independent of systemic blood pressure reduction. Higher doses than those typically used for antihypertensive purposes are often required to achieve optimal proteinuria reduction.
SGLT2 Inhibitors (SGLT2i)
Recent clinical studies have shown that combining SGLT2 inhibitors with ACEIs or ARBs can further reduce proteinuria. The primary mechanism involves inhibiting glucose and sodium reabsorption in the proximal tubules, leading to afferent arteriole constriction and a reduction in intraglomerular pressure.
Immunosuppressive Therapy
Glucocorticoids and cytotoxic drugs remain the primary medications for the treatment of nephrotic syndrome. In principle, the choice of drugs and determination of treatment duration should be based on the pathological findings from renal biopsy.
Glucocorticoids (hereafter referred to as steroids)
Steroids exert their therapeutic effects in reducing edema and proteinuria through a combination of mechanisms, including suppression of immune-inflammatory responses, inhibition of aldosterone and antidiuretic hormone secretion, and modulation of glomerular basement membrane permeability. The principles of use are as follows:
- Initial dosage: A sufficient starting dose is required, with the commonly used drug being prednisone at 1 mg/(kg·d), taken orally for 8 weeks, and extended to 12 weeks if necessary.
- Gradual tapering: After sufficient treatment, the dosage is reduced by 10% of the original dose every 2–3 weeks. When the dose is reduced to 20 mg/day, the condition tends to relapse, necessitating a slower tapering process.
- Long-term maintenance: The treatment is maintained with the smallest effective dose (10 mg/day) for approximately six months.
Steroids can be administered as a single daily dose, and during maintenance therapy, the total dose for two days can be taken every other day to reduce side effects. For patients with severe edema, impaired liver function, or poor response to prednisone, methylprednisolone (at an equivalent dose) can be used orally or via intravenous infusion. Dexamethasone, due to its long half-life and significant side effects, is now rarely used.
Long-term use of steroids may lead to side effects such as infections, drug-induced diabetes, and osteoporosis. In rare cases, avascular necrosis of the femoral head may occur, necessitating close monitoring.
Cytotoxic Drugs
These drugs are suitable for patients with "steroid-dependent" or "steroid-resistant" nephrotic syndrome and are used in combination with steroids. In the absence of contraindications to steroids, cytotoxic drugs are generally not the first choice or used as monotherapy.
Cyclophosphamide
Cyclophosphamide is the most commonly used cytotoxic drug both domestically and internationally. It is hydroxylated by hepatic microsomes in the body, and its metabolites exhibit potent immunosuppressive effects. The recommended dose is 2 mg/(kg·d), taken orally in 1–2 divided doses, or 200 mg administered intravenously every other day. Treatment is discontinued after a cumulative dose of 6–8 g. Major side effects include bone marrow suppression, liver damage, gonadal suppression (especially in males), hair loss, gastrointestinal reactions, and hemorrhagic cystitis.
Chlorambucil
Chlorambucil is administered at a dose of 2 mg three times daily for a total of three months. However, due to its toxicity and limited efficacy, its use has significantly declined.
Calcineurin Inhibitors
Cyclosporine (CsA), a calcineurin inhibitor, selectively inhibits helper T cells and cytotoxic T cells. It is used as a second-line drug for treating refractory nephrotic syndrome unresponsive to steroids and cytotoxic drugs. The commonly used dose is 3–5 mg/(kg·d), taken orally in two divided doses on an empty stomach. Blood trough levels should be monitored and maintained at 100–200 ng/ml during treatment. After 2–3 months of therapy, the dose is gradually reduced, with a total course of at least one year. Side effects include hepatotoxicity, nephrotoxicity, hypertension, hyperuricemia, hirsutism, and gingival hyperplasia.
Tacrolimus (FK506) is another calcineurin inhibitor with less nephrotoxicity compared to cyclosporine. The initial treatment dose for adults is 0.05 mg/(kg·d), with blood concentrations maintained at 5–8 ng/ml. The treatment duration ranges from six months to one year.
Mycophenolate Mofetil
Mycophenolate mofetil (MMF) is metabolized in the body to mycophenolic acid, an inhibitor of inosine monophosphate dehydrogenase. This suppresses the classical pathway of guanine nucleotide synthesis, selectively inhibiting T and B lymphocyte proliferation and antibody production. The commonly used dose is 1.5–2 g/day, taken orally in two divided doses for 3–6 months, followed by a reduced maintenance dose for six months.
MMF has been widely used for the prevention of rejection in kidney transplantation and has relatively mild side effects. Recent reports suggest that MMF is effective in some cases of refractory nephrotic syndrome, although large-scale prospective controlled studies are still lacking. This has garnered increasing attention.
Rituximab
Rituximab, a biological agent targeting CD20, eliminates CD20-expressing B cells. The induction therapy regimen typically involves 375 mg/m2 weekly for four doses, or 1,000 mg every two weeks for two doses. Subsequent adjustments to the treatment plan are based on the clinical condition and CD19-positive B lymphocyte counts. Studies have reported good efficacy in treating membranous nephropathy and steroid-dependent minimal change disease (MCD). However, the long-term efficacy and risks of rituximab require further evaluation.
The use of steroids and cytotoxic drugs in the treatment of nephrotic syndrome involves various regimens. In principle, the aim is to enhance therapeutic efficacy while minimizing side effects. Decisions regarding the use of steroids, the duration of treatment, and the use of cytotoxic drugs should be individualized based on factors such as the patient's glomerular pathology, age, renal function, and the presence of relative contraindications. Treatment plans should be tailored accordingly.
Prevention and Management of Complications
Complications of nephrotic syndrome are significant factors affecting the long-term prognosis of patients, and proactive prevention and management are essential.
Infections
Routine use of antibiotics to prevent infections during steroid therapy is generally not recommended, as it may not achieve the desired preventive effect and could instead lead to secondary fungal infections. Once an infection is identified, treatment should involve the use of antibiotics that are effective against the causative pathogen, potent, and non-nephrotoxic. For patients with a clear source of infection, the source should be addressed promptly. In cases of severe and uncontrollable infections, consideration may be given to reducing or discontinuing steroid use, depending on the patient’s specific condition.
Thrombotic and Embolic Complications
A hypercoagulable state is generally indicated when serum albumin levels fall below 20 g/L, at which point prophylactic anticoagulation therapy should be initiated. Options include subcutaneous administration of sodium heparin at 1,875–3,750 U every six hours, or low-molecular-weight heparin at 4,000–5,000 U once or twice daily, maintaining coagulation time at approximately twice the normal level using test-tube methods. Alternatively, oral warfarin can be used to maintain an international normalized ratio (INR) of 1.5–2.5. Anticoagulation therapy may be supplemented with antiplatelet agents such as dipyridamole, rivaroxaban, or aspirin.
For patients who have developed thrombotic or embolic events, systemic or localized thrombolytic therapy with urokinase or streptokinase should be administered as early as possible (ideally within six hours, but effectiveness may still be expected within three days). This should be combined with anticoagulation therapy, which is typically continued for more than six months. During anticoagulation and thrombolytic therapy, care must be taken to avoid excessive dosing that could result in bleeding.
Acute Kidney Injury
Acute kidney injury (AKI) associated with nephrotic syndrome can be life-threatening if not managed properly. However, with timely and appropriate treatment, most patients can recover. Management strategies include:
- Loop diuretics: For patients who remain responsive to loop diuretics, high doses may be administered to flush obstructed renal tubules.
- Hemodialysis: For patients who fail to respond to diuretics and meet dialysis indications, hemodialysis should be performed to sustain life. Following the infusion of plasma products, appropriate dehydration may be undertaken to reduce renal interstitial edema.
- Treatment of the underlying condition: Given that the pathological type of AKI in nephrotic syndrome is often minimal change disease, active treatment of the primary disease is necessary.
- Urine alkalization: Oral administration of sodium bicarbonate may be used to alkalize the urine, reducing the formation of tubular casts.
Protein and Lipid Metabolism Disorders
Metabolic disturbances are often difficult to completely correct before nephrotic syndrome achieves remission. However, dietary adjustments in the quantity and composition of protein and fat (as previously described) should be made to minimize the impact of these disturbances. Lipid-lowering drugs may include β-hydroxy-β-methylglutaryl-CoA reductase inhibitors (statins) for cholesterol reduction or fibrates for triglyceride reduction. Hyperlipidemia typically resolves naturally after remission of nephrotic syndrome, and further medication may not be necessary in such cases.
Prognosis
The prognosis of nephrotic syndrome (NS) is influenced by several factors:
Pathological Type
Minimal change disease and mild mesangial proliferative glomerulonephritis are associated with better prognoses.
Mesangial capillary glomerulonephritis, focal segmental glomerulosclerosis (FSGS), and severe mesangial proliferative glomerulonephritis are associated with poorer outcomes.
Early-stage membranous nephropathy has a certain remission rate, while late-stage membranous nephropathy is more difficult to achieve remission.
Clinical Manifestations
Patients with massive proteinuria, severe hypertension, or impaired renal function tend to have worse prognoses.
Response to Steroid Therapy
Steroid-sensitive patients generally have a relatively favorable prognosis, while steroid-resistant patients have poorer outcomes.
Complications
Patients with recurrent infections leading to frequent relapses of nephrotic syndrome tend to have worse prognoses.