IgA nephropathy refers to a glomerular disease characterized by predominant IgA deposition in the mesangial region. It is currently the most common primary glomerular disease worldwide. The prevalence of IgA nephropathy varies significantly by region, accounting for approximately 15%–40% of primary glomerular diseases in Europe and Asia. It is the most common glomerular disease and an important cause of end-stage renal disease (ESRD). IgA nephropathy can occur at any age but is most frequently observed in males aged 20–30 years.
Etiology and Pathogenesis
The pathogenesis of IgA nephropathy remains incompletely understood. Immunofluorescence findings, which show predominant IgA and C3 deposition in the mesangial region, suggest that the disease may result from the deposition of circulating immune complexes in the kidney, leading to complement activation and subsequent renal damage.
Most patients with IgA nephropathy and their first-degree relatives have circulating IgA molecules with hinge-region galactose deficiency, primarily in the form of polymeric IgA1. Current research suggests that a "second hit," such as infection, triggers the production of autoantibodies, leading to the formation of immune complexes that deposit in the glomeruli and induce an inflammatory response. This process stimulates mesangial cell proliferation and extracellular matrix accumulation, ultimately resulting in glomerular sclerosis and interstitial fibrosis. Genetic factors also play a significant role in the development of IgA nephropathy. Genome-wide association studies have identified multiple susceptibility loci closely related to immune response, mucosal immunity, and complement activation.
Pathology
The primary pathological features of IgA nephropathy include mesangial cell proliferation and increased mesangial matrix. The pathological changes are diverse, with varying degrees of severity, and can involve nearly all pathological types of glomerulonephritis, such as mesangial proliferative glomerulonephritis, minimal change glomerulonephritis, focal proliferative glomerulonephritis, endocapillary proliferative glomerulonephritis, crescentic glomerulonephritis, focal segmental glomerulosclerosis, and proliferative-sclerosing glomerulonephritis.

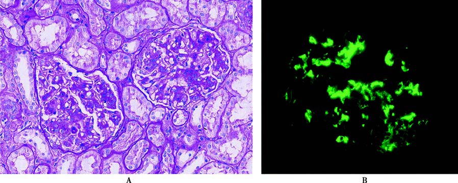
Figure 1 Pathological images of IgA nephropathy (Pathological features of mesangial proliferative glomerulonephritis)
A. Diffuse proliferation of mesangial cells and mesangial matrix in the glomeruli in light microscopy (PAS staining);
B. Immunofluorescence showing IgA deposition in the mesangial region of the glomeruli.
The Oxford classification is widely used for IgA nephropathy and includes five main pathological indicators: mesangial hypercellularity (M0/1), endocapillary hypercellularity (E0/1), segmental sclerosis or adhesion (S0/1), tubular atrophy or interstitial fibrosis (T0/1/2), and cellular or fibrocellular crescents (C0/1/2).
Immunofluorescence reveals granular or clumpy IgA deposits predominantly in the mesangial region, with or without capillary loop involvement, often accompanied by C3 deposition but rarely C1q. IgG and IgM may also be deposited, with a distribution similar to IgA but with weaker intensity. Electron microscopy shows clumpy electron-dense deposits in the mesangial region.
Clinical Manifestations
IgA nephropathy has an insidious onset and often presents as asymptomatic hematuria, with or without proteinuria, and is frequently discovered during routine health examinations. Some patients report preceding symptoms, such as upper respiratory or gastrointestinal infections, occurring hours to days before onset. The main clinical manifestation is episodic gross hematuria, which may last for hours or days. Gross hematuria is usually painless and may be accompanied by mild proteinuria, most commonly seen in children and young adults.
The severity of systemic symptoms varies and may include general malaise, fatigue, and muscle pain. Approximately 20%–50% of patients have hypertension, and a small number may develop malignant hypertension. Some patients present with nephrotic syndrome and varying degrees of renal dysfunction.
Laboratory Findings
Urinalysis may reveal microscopic or gross hematuria, predominantly with dysmorphic red blood cells. Approximately 60% of patients have varying degrees of proteinuria, and some may present with nephrotic syndrome (>3.5 g/day).
Elevated serum IgA levels are observed in 30%–50% of patients, although this finding is not correlated with disease severity or progression. The serum complement levels are usually normal in most cases.
Diagnosis and Differential Diagnosis
The possibility of IgA nephropathy should be considered in young patients presenting with microscopic hematuria and/or proteinuria, particularly when hematuria is associated with upper respiratory tract infections. A definitive diagnosis relies on renal biopsy with immunopathological examination. IgA nephropathy should mainly be differentiated from the following conditions:
Acute Post-Streptococcal Glomerulonephritis (APSGN)
This condition has a longer latency period (7–21 days) and tends to resolve spontaneously. In contrast, IgA nephropathy has a shorter latency period and is characterized by recurrent episodes. Laboratory findings, such as elevated serum IgA levels, dynamic changes in serum C3 levels, and positive ASO tests, along with renal biopsy, can help distinguish between the two.
Non-IgA Mesangial Proliferative Glomerulonephritis
This condition closely resembles IgA nephropathy, and confirmation requires renal biopsy.
Secondary Mesangial IgA Deposition
Conditions such as Henoch-Schönlein purpura nephritis or renal damage due to chronic liver disease should be considered. Relevant clinical history and laboratory findings aid in differentiation.
Thin Basement Membrane Nephropathy
This condition presents as persistent microscopic hematuria, often with a positive family history. Immunofluorescence on renal biopsy shows negative IgA staining, and electron microscopy reveals diffuse thinning of the glomerular basement membrane.
Urinary Tract Infection (UTI)
UTIs are often accompanied by fever and flank pain, which can be confused with IgA nephropathy presenting with increased red and white blood cells in the urine. However, patients with IgA nephropathy typically have repeatedly negative midstream urine cultures and do not respond to antibiotic treatment.
Treatment
The clinical presentation, pathological changes, and prognosis of IgA nephropathy vary widely. Treatment should be tailored based on clinical manifestations and pathological findings.
Isolated Microscopic Hematuria
Patients with isolated microscopic hematuria generally have a favorable prognosis, and renal function can remain normal for an extended period. No specific treatment is required, but regular monitoring of proteinuria and renal function is necessary. Efforts should be made to avoid overexertion, prevent infections, and avoid nephrotoxic drugs.
Recurrent Gross Hematuria
For patients with recurrent gross hematuria or worsening urinary abnormalities following infections, infection control is essential. Non-nephrotoxic antibiotics, such as penicillin (800,000 units intramuscularly, twice daily) or oral erythromycin and cephalosporins, are recommended. For patients with recurrent tonsillitis, tonsillectomy may be considered.
Proteinuria
Angiotensin-converting enzyme inhibitors (ACEIs) or angiotensin receptor blockers (ARBs) are recommended, with the dose gradually increased to the maximum tolerated level to reduce proteinuria to <0.5 g/day and slow renal disease progression. For patients with persistent proteinuria >1 g/day after 3–6 months of optimized supportive care (including oral ACEIs/ARBs and blood pressure control) and an estimated glomerular filtration rate (GFR) >50 ml/(min·1.73 m2), corticosteroid therapy may be considered. Prednisone at 0.6–1.0 mg/kg daily is administered for 4–8 weeks, followed by gradual tapering over a total duration of 6–12 months. The benefit of immunosuppressants (e.g., cyclophosphamide, azathioprine, or mycophenolate mofetil) remains controversial.
Nephrotic Syndrome
In patients with minimal change disease on renal biopsy, corticosteroid therapy (refer to the nephrotic syndrome section) often yields favorable outcomes. However, in cases with membranoproliferative glomerulonephritis or other pathological patterns, treatment is less effective, particularly in patients with massive, refractory proteinuria and progressive renal damage, which indicates a poor prognosis.
Acute Kidney Injury (AKI)
AKI in IgA nephropathy is primarily caused by crescentic glomerulonephritis, capillary loop necrosis, or red blood cell cast obstruction in the renal tubules. Renal biopsy revealing cellular crescentic glomerulonephritis often indicates rapidly worsening renal function, requiring prompt treatment with high-dose corticosteroids and cytotoxic drugs. Dialysis should be initiated when indicated.
Hypertension
Blood pressure control is essential for preserving renal function and slowing the progression of chronic kidney disease. Clinical studies have shown that ACEIs or ARBs effectively control blood pressure and reduce proteinuria in patients with IgA nephropathy.
Chronic Kidney Disease (CKD)
The treatment can be seen in the management of chronic kidney disease.
Other Therapies
Targeted-release formulations (TRF) of budesonide, designed for ileal release, have become the first targeted therapy for IgA nephropathy. If the disease is triggered by a mucosal immune response to certain foods, dietary avoidance of these triggers is recommended. Most patients with IgA nephropathy tolerate pregnancy well, but pregnancy is not advised in cases of uncontrolled hypertension, GFR <60 ml/(min·1.73 m2), or severe glomerular, vascular, or interstitial lesions on renal biopsy.
Prognosis
The 10-year renal survival rate for IgA nephropathy is approximately 80%–85%, and the 20-year rate is about 65%. However, there is significant individual variability. Some patients have a favorable long-term prognosis, while others progress rapidly to renal failure. Poor prognostic indicators include uncontrolled hypertension, persistent proteinuria (especially >1 g/day), impaired renal function, and renal biopsy findings of glomerular sclerosis, interstitial fibrosis, tubular atrophy, or extensive crescent formation.