Rapidly progressive glomerulonephritis (RPGN), also known as crescentic glomerulonephritis, refers to a group of diseases characterized by rapid progression of renal dysfunction on the basis of acute nephritic syndrome. Pathologically, it is defined by the presence of crescentic glomerulonephritis.
Etiology and Pathogenesis
RPGN can be classified into three types based on immunopathology, with each type having distinct etiologies and mechanisms:
- Type I (Anti-GBM type): This occurs due to the binding of anti-glomerular basement membrane (GBM) antibodies to GBM antigens, leading to complement activation and subsequent disease.
- Type II (Immune complex type): This results from the deposition of circulating immune complexes in the glomeruli or the formation of in situ immune complexes.
- Type III (Pauci-immune type): This is characterized by little or no immune complex deposition in the glomeruli and is often associated with ANCA-associated small-vessel vasculitis.
Approximately half of RPGN patients have a history of preceding upper respiratory tract infections. Exposure to certain organic chemical solvents or hydrocarbons, such as gasoline, may be closely associated with Type I RPGN. Drugs like propylthiouracil (PTU) and hydralazine have been linked to Type III RPGN.
Pathology
The kidneys are often enlarged, and crescentic glomerulonephritis is the characteristic pathological feature. Light microscopy reveals the formation of crescents in the majority (over 50%) of glomeruli, occupying more than 50% of the glomerular capsular space. Early-stage crescents are cellular, while late-stage crescents become fibrotic.
Type II RPGN is often accompanied by proliferation of glomerular capillary endothelial and mesangial cells, while fibrinoid necrosis of glomeruli may be observed in Type I and Type III. Immunopathology is crucial for classification:
- Type I: Linear deposition of IgG and C3 along the glomerular capillary walls.
- Type II: Granular or clumpy deposits of IgG and C3 in the mesangium and capillary walls.
- Type III: Little to no immune deposits in the glomeruli.

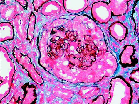
Figure 1 Disruption of capillary loops with crescent formation (PASM ×200).

Figure 2 Linear distribution of IgG along the glomerular capillary walls.
Electron microscopy in Type II shows electron-dense deposits in the mesangial and subendothelial regions, while no such deposits are observed in Type I and Type III.
Clinical Manifestations and Laboratory Findings
Type II is slightly more common. Type I predominantly affects young and middle-aged adults, while Type III is more common in middle-aged and elderly patients, with a slight male predominance.
Most patients experience an acute onset, and the disease may progress rapidly. On the basis of acute nephritic syndrome, early symptoms include oliguria or anuria, with rapid progression to renal failure and uremia. Patients may present with varying degrees of anemia. Approximately half of Type II patients also exhibit nephrotic syndrome, while Type III is often associated with systemic vasculitis symptoms, such as fever, fatigue, and weight loss.
Immunological findings include positive anti-GBM antibodies (Type I), lupus-related autoantibodies (Type II), and ANCA positivity (Type III). Additionally, circulating immune complexes and cryoglobulins may be positive in Type II, with possible reductions in serum C3 levels.
Diagnosis and Differential Diagnosis
Acute nephritic syndrome with rapidly worsening renal function should raise suspicion for RPGN, and renal biopsy is necessary to confirm the diagnosis.
RPGN should be differentiated from the following conditions:
Non-glomerular diseases causing acute kidney injury
Acute tubular necrosis (ATN) is often associated with clear precipitating factors such as ischemia (e.g., shock, dehydration) or nephrotoxins (e.g., nephrotoxic antibiotics). Laboratory findings primarily indicate tubular damage, such as increased urinary sodium, low specific gravity, and low urine osmolality.
Acute allergic interstitial nephritis is frequently associated with a history of drug use and may present with hypersensitivity reactions (e.g., low-grade fever, rash), along with increased eosinophils in blood and urine. Renal biopsy may be required for confirmation.
Obstructive nephropathy typically presents with sudden anuria, and imaging studies can assist in diagnosis.
Other glomerular diseases causing rapidly progressive nephritic syndrome
Primary glomerular diseases
Severe acute glomerulonephritis or severe membranoproliferative glomerulonephritis may lead to acute kidney injury, but the renal pathology may not show crescentic glomerulonephritis. Renal biopsy can provide a definitive diagnosis.
Secondary RPGN
Conditions such as pulmonary-renal syndrome (Goodpasture syndrome), systemic lupus erythematosus, and Henoch-Schönlein purpura nephritis can cause crescentic glomerulonephritis. These can be distinguished based on systemic manifestations and specific laboratory findings.
Treatment
The etiology and immunopathological classification of the disease should be identified promptly, and intensive immunosuppressive therapy should be initiated as early as possible.
Intensive Therapy
Plasma Exchange Therapy
Plasma exchange is performed daily or every other day, with 2–4 liters of plasma exchanged per session, until serum autoantibodies (such as anti-GBM antibodies or ANCA) turn negative, which generally requires more than seven sessions. This therapy is suitable for Type I and Type III RPGN. Additionally, plasma exchange is the first-line treatment for patients with pulmonary hemorrhage.
Methylprednisolone Pulse Therapy
Methylprednisolone is administered intravenously at a dose of 0.5–1.0 g per day or every other day for three sessions as one course of treatment. Typically, 1–3 courses are required. This therapy is mainly applicable to Type II and Type III RPGN.
The above intensive therapies should be combined with glucocorticoids [oral prednisone at 1 mg/(kg·d) for 6–8 weeks, followed by gradual tapering] and cytotoxic drugs [oral cyclophosphamide at 2–3 mg/(kg·d) or intravenous infusion at 0.6–0.8 g/month, with a cumulative dose generally not exceeding 8 g].
Supportive and Symptomatic Treatment
Patients who meet the criteria for dialysis should undergo dialysis promptly. For advanced cases unresponsive to intensive therapy or cases where renal function is irreversibly lost, long-term maintenance dialysis is required. Kidney transplantation is recommended six months after the disease has stabilized, particularly for Type I patients, once serum anti-GBM antibodies have turned negative for at least six months.
Prognosis
Early and accurate diagnosis combined with intensive treatment can improve prognosis. The main factors influencing prognosis include:
- Immunopathological Type: Type III has the best prognosis, Type I the worst, and Type II is intermediate.
- Early Intensive Therapy: Poor prognosis is associated with oliguria, serum creatinine levels exceeding 600 μmol/L, and pathological evidence of extensive chronic lesions.
- Age: Elderly patients tend to have a relatively worse prognosis.