Acute glomerulonephritis (AGN) is a group of diseases characterized primarily by the clinical manifestations of acute nephritic syndrome. It typically presents with an acute onset, hematuria, proteinuria, edema, and hypertension, and may be accompanied by transient renal dysfunction. It is most commonly associated with streptococcal infections, although other bacterial, viral, and parasitic infections can also be causative. This section focuses on post-streptococcal acute glomerulonephritis.
Etiology and Pathogenesis
The disease is primarily caused by infections with nephritogenic strains of Group A beta-hemolytic streptococci, such as those leading to tonsillitis, scarlet fever, or impetigo. It results from an immune response triggered by the infection. Antibodies targeting streptococcal antigens, such as streptococcal pyrogenic exotoxin B, may cross-react with glomerular components, or immune complexes may form in situ or circulate, leading to abnormal complement activation. These mechanisms contribute to an inflammatory response, resulting in glomerular infiltration by inflammatory cells.
Pathology
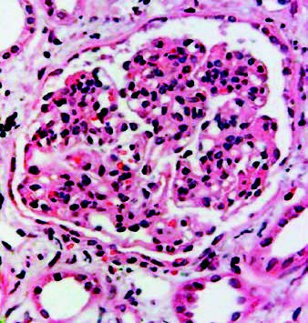
The kidneys may become enlarged. Light microscopy typically shows diffuse proliferation of glomerular capillary endothelial and mesangial cells, accompanied by infiltration of neutrophils and monocytes during the acute phase. Severe cases may exhibit narrowing or occlusion of capillary lumina. Interstitial edema and focal infiltration of inflammatory cells may also be observed. Immunopathological examination reveals coarse granular deposits of IgG and C3 along the glomerular capillary walls and/or mesangial regions. Electron microscopy demonstrates subepithelial hump-like electron-dense deposits beneath the glomerular epithelial cells.

Figure 1 Diffuse proliferation of glomerular endothelial cells with infiltration of neutrophils (HE ×400).
Clinical Manifestations and Laboratory Findings
The disease is more common in children, with a slightly higher prevalence in males. It typically develops two weeks after an infection, corresponding to the time required for antibody production following antigen exposure. The onset is acute, with mild cases presenting as subclinical disease (abnormal urinalysis and serum C3 levels only), while typical cases exhibit features of acute nephritic syndrome. Severe cases may progress to acute kidney injury.
All patients exhibit glomerular hematuria, with approximately 30% presenting with gross hematuria. Proteinuria is usually mild to moderate, although a small proportion of patients may develop nephrotic-range proteinuria. Around 80% of patients experience edema, particularly in the eyelids and lower extremities upon waking. Transient hypertension is also common. In severe cases, congestive heart failure may occur, often due to water and sodium retention.
In the early stages, serum C3 and total complement levels are decreased, but they typically return to normal within eight weeks, which is diagnostically significant. Elevated serum anti-streptolysin O (ASO) titers indicate recent streptococcal infection.
Diagnosis and Differential Diagnosis
Acute nephritic syndrome occurring 1–3 weeks after a streptococcal infection, accompanied by transient decreases in serum C3, supports a clinical diagnosis of acute glomerulonephritis. Persistent elevation of serum creatinine or lack of improvement in two months warrants a renal biopsy to confirm the diagnosis.
The disease should be differentiated from other glomerular diseases presenting as acute nephritic syndrome:
Acute glomerulonephritis following other infections
Evidence of infections by other pathogens should be sought. Post-viral infections typically do not involve decreased serum complement levels and rarely present with edema, hypertension, or impaired renal function. The clinical course is usually self-limiting.
Membranoproliferative glomerulonephritis (MPGN)
This condition often coexists with nephrotic syndrome, and 50%–70% of patients exhibit persistent hypocomplementemia that does not resolve within eight weeks.
IgA nephropathy
Some patients have a preceding infection and develop gross hematuria within hours to days after the infection. Elevated serum IgA levels may be observed, but serum C3 levels are usually normal. The disease lacks a tendency for spontaneous resolution.
When the clinical diagnosis is uncertain, renal biopsy may be considered to confirm the diagnosis and guide treatment. Indications for renal biopsy include:
- Oliguria lasting longer than one week or progressive reduction in urine output accompanied by worsening renal function.
- Lack of improvement in more than two months.
- Coexistence of acute nephritic syndrome with nephrotic syndrome.
Treatment
Management primarily involves supportive and symptomatic treatment. During the acute phase, bed rest is recommended until gross hematuria resolves, edema subsides, and blood pressure normalizes. Sodium restriction and diuretics may be used to reduce edema, lower blood pressure, and prevent cardiovascular complications.
In most cases, the infectious focus has already been controlled by the time acute glomerulonephritis develops. If there is no evidence of active infection, antibiotics are not required. For patients with recurrent chronic tonsillitis, tonsillectomy may be considered once the condition stabilizes.
Prognosis
Acute glomerulonephritis is a self-limiting disease, and most patients have a good prognosis. However, 6%–18% of cases may develop persistent urinary abnormalities and/or hypertension, progressing to chronic disease, or experience recurrent glomerulonephritis years after "clinical recovery." Poor prognostic factors include older age, persistent hypertension, heavy proteinuria, or renal dysfunction. Sporadic cases tend to have worse outcomes compared to epidemic cases.